Se încarcă...
Chirurgie
Ortodonție
Tratamente
Copii
Nu știi ce tratament ai nevoie? Programează o consultație gratuită →
Vezi toate serviciileSe încarcă...

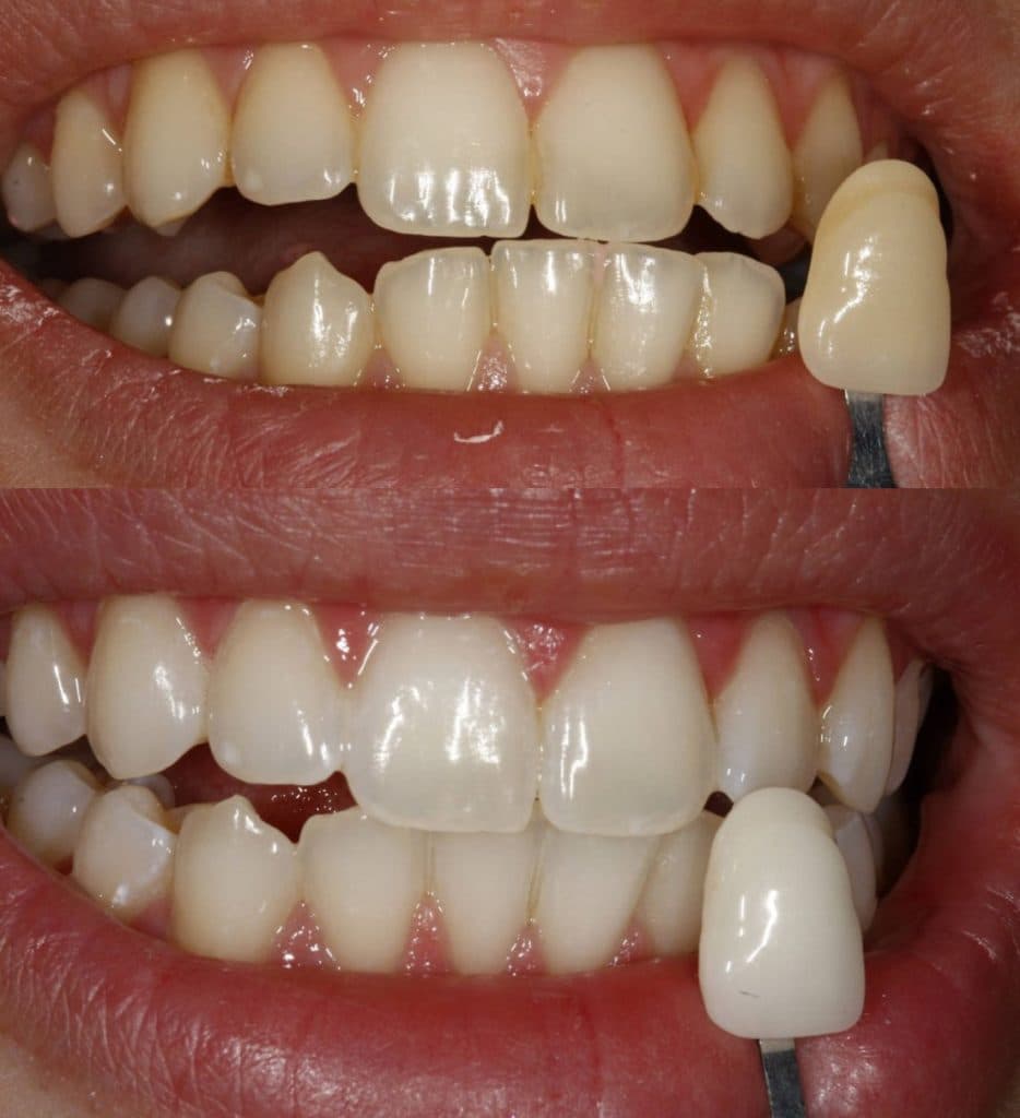
Transformarea zâmbetului prin fațete, albire profesională și conturare estetică pentru un aspect natural și luminos.
Prezentare
Fiecare tratament estetic începe cu o analiză detaliată a zâmbetului și a trăsăturilor faciale. Scopul este obținerea unui rezultat natural, armonios, care să complementeze fizionomia pacientului.

De ce să alegi

Cum funcționează
În funcție de tratamentul ales, procedura poate dura de la o singură ședință (albire profesională) până la câteva săptămâni (fațete ceramice).
Folosim materiale premium și tehnologii de ultimă generație.
Majoritatea procedurilor estetice au recuperare minimă. Sensibilitatea dentară temporară poate apărea după albire, dar dispare în câteva zile.
Specialist disponibil pentru evaluare gratuită
Categorie
Estetică
Preț serviciu
de la 4,500 MDL